Trebuie să știi că malocluzia dentară este un defect fizic și funcțional al gurii, destul de comun și mai răspândit decât crezi. De fapt, foarte des, malocluzia (mai ales dacă este minoră) nu este recunoscută ca fiind o problemă deosebit de gravă de către cei afectați, dar dintr-o privire atentă a stomatologului, aceasta este imediat recunoscută. Chiar dacă de multe ori nu ne dăm seama, conformația cavității noastre bucale poate să nu fie atât de perfectă pe cât credem. În aceste condiții, este malocluzia un semnal de alarmă? Da! Există riscul este de a suferi disfuncții fizice și funcționale, dacă există o închidere incorectă a arcadelor dentare. Totodată, în forma sa cea mai gravă, malocluzia provoacă disconfort nu numai cavității bucale, ci întregului nostru corp.
Să vedem care sunt simptomele, cauzele, remediile și cum putem preveni malocluzia dentară.
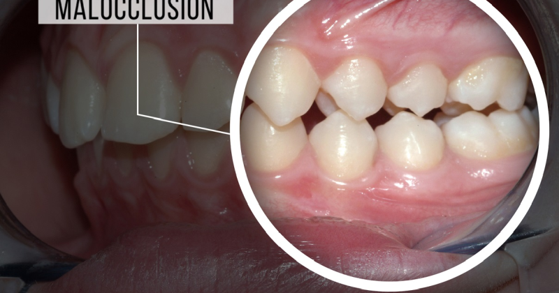
Ce este (de fapt) malocluzia dentară ?
„Malocluzia nu este altceva decât o dezaliniere a dinților prezenți pe arcadele superioare și inferioare și, prin urmare, o relație dezechilibrată și anormală între maxilar și mandibulă. Iar de aici rezultă o serie de tulburări care afectează nu numai gura în sine, ci întregul organism provocând dureri de cap, probleme de auz și dureri de spate. Totodată, nu trebuie să uităm că malocluzia dentară implică în primul rând procesul de mestecare, creând disconfort în actul de a mânca. De aceea, nu este neobișnuit ca cei care suferă de malocluzie să manifeste o greutate la nivelul maxilarului iar, în cele mai grave cazuri, chiar durere. De asemenea, nu este neobișnuit ca cei care suferă de anumite tulburări de sănătate, cum ar fi durerile de spate sau durerile de cap recurente, să nu poată distinge în mod independent cauza disconfortului lor și să urmărească malocluzia dentară.”, aflăm de la dr. Lorelei Nassar.
De fapt, medicul mai subliniază că „doar o examinare medicală amănunțită făcută de către medicul dentist poate detecta prezența unei ocluzii dentare incorecte și poate evalua entitatea acesteia și posibila terapie de rezoluție.”
Cum apare malocluzia mandibulară?
Pentru a îndeplini în cel mai bun mod sarcinile atribuite (funcții fonetice și masticatorii), dinții arcului superior și inferior încearcă să stabilească între ei un suport care să garanteze cel mai mare număr posibil de contacte. Cu toate acestea, acest obiectiv poate fi atins numai dacă: maxilarele superioare și inferioare sunt corect proporționate între ele; dinții din același arc sunt aliniați corect, fără aglomerare, fără spații între un dinte și celălalt (diastemas) sau rotații.
Dacă această condiție de echilibru nu este prezentă, se poate vorbi despre prezența unei malocluzii dentare (sau mandibulare).
Ce probleme pot apărea? În aceste condiții, ocluzia imperfectă a arcadelor dentare poate provoca probleme și în alte părți ale corpului. De exemplu, pe lângă tulburările de mestecare și fonetice, această condiție de sănătate poate provoca un risc crescut de: dureri de gât, dureri de spate, postură incorectă, dureri de cap, tinitus (sunete în urechi).
Cu toate acestea, trebuie spus că nealinierea dinților arcurilor superioare și inferioare, dacă nu este tratată corespunzător, poate genera și probleme grave din punct de vedere:
- Estetic - Aspectul estetic nu trebuie neglijat: Malocluzia duce în primul rând la un aspect asimetric al feței și un zâmbet nu foarte armonios, în timp ce în cele mai grave malocluzii defectul estetic este deosebit de evident, atât încât creează probleme sociale și relaționale.
- Fizic - De altfel, malocluzia dentară are consecințe negative și asupra altor părți ale corpului, pe lângă o disfuncție a arcului temporomandibular.

Singurătatea doare! Tu o poți vindeca! Campanie pentru susținerea nevoilor urgente ale vârstnicilor din România
”Nu mă lăsa să mor” - o poveste de ficțiune despre realitatea dureroasă a singurătății, din 5 decembrie în cinematografe
O joacă a unui tânăr român a dus la reinventarea sistemului de returnare a ambalajelor
McHappy Day 2025®: când faptele bune țin familiile împreună